Schedule Your Virtual Consultation Today
We care about your safety and your time. Schedule your virtual consultation TODAY!
Our virtual services are available during regular business hours. This allows you to see a doctor virtually wherever you are, whether you’re stuck at home, out and about, or at work. We are happy to offer virtual consultations to make your orthodontic journey much easier. How does it work? Just follow these simple steps:
STEP 1
Take your photos. Please watch the video below and follow the instructions.
STEP 2
Send an email with your photos to info@gorthodontics.com. Make sure you include:
- Your name and patient’s name
- Date of birth
- Address
- Contact phone number
- Reason for seeking a consultation
- Any questions you have regarding your teeth
- Preferred method of contact (phone call, text or email)
STEP 3
Our Treatment Coordinator will contact you to set up a video call with Dr. Garcia.
Example Photos

SMILE

FRONT (Relax your lips)

PROFILE (Relax your lips)

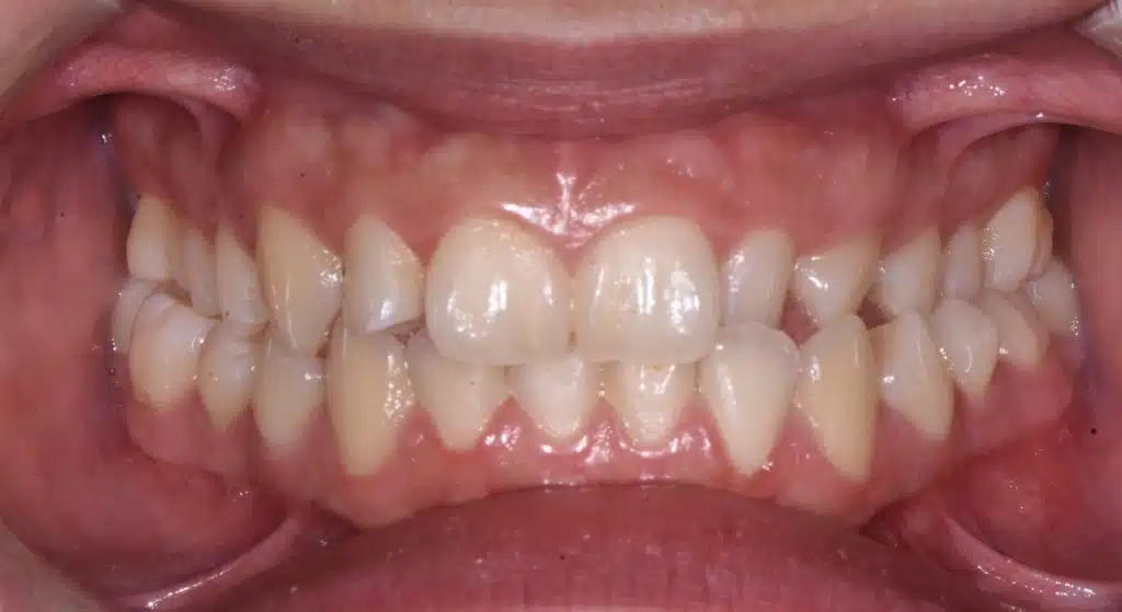
BITE (Stretch your cheeks)

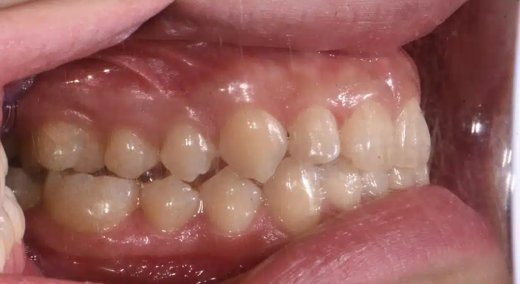
RIGHT BITE (Stretch your cheek so we can see your molars)

LEFT BITE (Stretch your cheek so we can see your molars)

UPPER ARCH (Put your head back)










